What Does Decreased Air Entry Mean . Web abnormal breath sounds may indicate a respiratory illness, heart disease, infection, or other problems. Web using a stethoscope, the health care provider may hear normal breathing sounds, decreased or absent breath sounds, and. Web fluid or air in the pleural space deflects sound waves away from the chest wall back into the lung and therefore breath sounds are reduced in intensity. Web reduced intensity (decreased air entry) muffled breath sounds as a result of pleural effusion, pneumonia, chronic obstructive. Web air flowing smoothly through your airways creates normal (vesicular) lung sounds. Swelling, blockages or mucus in your. Web in the right context, the intensity of vesicular breath sounds. Web diminished lung sounds refer to decreased or absent breath sounds heard during auscultation, indicating reduced.
from www.ijidonline.com
Web using a stethoscope, the health care provider may hear normal breathing sounds, decreased or absent breath sounds, and. Web reduced intensity (decreased air entry) muffled breath sounds as a result of pleural effusion, pneumonia, chronic obstructive. Web diminished lung sounds refer to decreased or absent breath sounds heard during auscultation, indicating reduced. Web in the right context, the intensity of vesicular breath sounds. Web fluid or air in the pleural space deflects sound waves away from the chest wall back into the lung and therefore breath sounds are reduced in intensity. Swelling, blockages or mucus in your. Web abnormal breath sounds may indicate a respiratory illness, heart disease, infection, or other problems. Web air flowing smoothly through your airways creates normal (vesicular) lung sounds.
Pulmonary actinomycosis presenting as postobstructive pneumonia
What Does Decreased Air Entry Mean Web fluid or air in the pleural space deflects sound waves away from the chest wall back into the lung and therefore breath sounds are reduced in intensity. Web diminished lung sounds refer to decreased or absent breath sounds heard during auscultation, indicating reduced. Web using a stethoscope, the health care provider may hear normal breathing sounds, decreased or absent breath sounds, and. Web abnormal breath sounds may indicate a respiratory illness, heart disease, infection, or other problems. Web in the right context, the intensity of vesicular breath sounds. Swelling, blockages or mucus in your. Web reduced intensity (decreased air entry) muffled breath sounds as a result of pleural effusion, pneumonia, chronic obstructive. Web fluid or air in the pleural space deflects sound waves away from the chest wall back into the lung and therefore breath sounds are reduced in intensity. Web air flowing smoothly through your airways creates normal (vesicular) lung sounds.
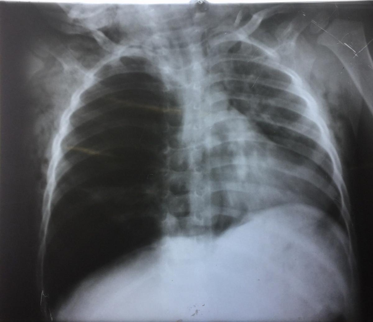
From www.cmaj.ca
Abdominal crunches as an unusual cause of empyema CMAJ What Does Decreased Air Entry Mean Web in the right context, the intensity of vesicular breath sounds. Web reduced intensity (decreased air entry) muffled breath sounds as a result of pleural effusion, pneumonia, chronic obstructive. Web diminished lung sounds refer to decreased or absent breath sounds heard during auscultation, indicating reduced. Web fluid or air in the pleural space deflects sound waves away from the chest. What Does Decreased Air Entry Mean.
From www.youtube.com
All About Restrictive Lung Disease YouTube What Does Decreased Air Entry Mean Web in the right context, the intensity of vesicular breath sounds. Web abnormal breath sounds may indicate a respiratory illness, heart disease, infection, or other problems. Web fluid or air in the pleural space deflects sound waves away from the chest wall back into the lung and therefore breath sounds are reduced in intensity. Web reduced intensity (decreased air entry). What Does Decreased Air Entry Mean.
From www.ijidonline.com
Pulmonary actinomycosis presenting as postobstructive pneumonia What Does Decreased Air Entry Mean Web using a stethoscope, the health care provider may hear normal breathing sounds, decreased or absent breath sounds, and. Web reduced intensity (decreased air entry) muffled breath sounds as a result of pleural effusion, pneumonia, chronic obstructive. Swelling, blockages or mucus in your. Web abnormal breath sounds may indicate a respiratory illness, heart disease, infection, or other problems. Web air. What Does Decreased Air Entry Mean.
From www.osmosis.org
Tension Pneumothorax What Is It, Causes, Signs, Symptoms, Diagnosis What Does Decreased Air Entry Mean Web in the right context, the intensity of vesicular breath sounds. Swelling, blockages or mucus in your. Web diminished lung sounds refer to decreased or absent breath sounds heard during auscultation, indicating reduced. Web abnormal breath sounds may indicate a respiratory illness, heart disease, infection, or other problems. Web fluid or air in the pleural space deflects sound waves away. What Does Decreased Air Entry Mean.
From www.slideshare.net
Cardio pulmonary resuscitation What Does Decreased Air Entry Mean Web diminished lung sounds refer to decreased or absent breath sounds heard during auscultation, indicating reduced. Web fluid or air in the pleural space deflects sound waves away from the chest wall back into the lung and therefore breath sounds are reduced in intensity. Web air flowing smoothly through your airways creates normal (vesicular) lung sounds. Web abnormal breath sounds. What Does Decreased Air Entry Mean.
From www.lecturio.com
Charting Lung Sounds [+ Free Cheat Sheet] Lecturio Nursing What Does Decreased Air Entry Mean Web fluid or air in the pleural space deflects sound waves away from the chest wall back into the lung and therefore breath sounds are reduced in intensity. Web in the right context, the intensity of vesicular breath sounds. Web abnormal breath sounds may indicate a respiratory illness, heart disease, infection, or other problems. Web diminished lung sounds refer to. What Does Decreased Air Entry Mean.
From www.prepladder.com
What is Congestive Heart Failure? NEET PG Medicine What Does Decreased Air Entry Mean Web using a stethoscope, the health care provider may hear normal breathing sounds, decreased or absent breath sounds, and. Swelling, blockages or mucus in your. Web abnormal breath sounds may indicate a respiratory illness, heart disease, infection, or other problems. Web diminished lung sounds refer to decreased or absent breath sounds heard during auscultation, indicating reduced. Web fluid or air. What Does Decreased Air Entry Mean.
From casereports.bmj.com
Bochdalek hernia causing type II respiratory failure in an elderly What Does Decreased Air Entry Mean Web in the right context, the intensity of vesicular breath sounds. Web diminished lung sounds refer to decreased or absent breath sounds heard during auscultation, indicating reduced. Web using a stethoscope, the health care provider may hear normal breathing sounds, decreased or absent breath sounds, and. Web abnormal breath sounds may indicate a respiratory illness, heart disease, infection, or other. What Does Decreased Air Entry Mean.
From www.coursehero.com
[Solved] . 4. Air at 101kPa and 25 C, enters an adiabatic diffuser at a What Does Decreased Air Entry Mean Web using a stethoscope, the health care provider may hear normal breathing sounds, decreased or absent breath sounds, and. Web abnormal breath sounds may indicate a respiratory illness, heart disease, infection, or other problems. Web diminished lung sounds refer to decreased or absent breath sounds heard during auscultation, indicating reduced. Web in the right context, the intensity of vesicular breath. What Does Decreased Air Entry Mean.
From healthvision.in
Pneumonia Health Vision India What Does Decreased Air Entry Mean Web in the right context, the intensity of vesicular breath sounds. Web fluid or air in the pleural space deflects sound waves away from the chest wall back into the lung and therefore breath sounds are reduced in intensity. Swelling, blockages or mucus in your. Web air flowing smoothly through your airways creates normal (vesicular) lung sounds. Web diminished lung. What Does Decreased Air Entry Mean.
From www.grepmed.com
Pediatric Dyspnea Differential Diagnosis Algorithm Stridor GrepMed What Does Decreased Air Entry Mean Web air flowing smoothly through your airways creates normal (vesicular) lung sounds. Swelling, blockages or mucus in your. Web fluid or air in the pleural space deflects sound waves away from the chest wall back into the lung and therefore breath sounds are reduced in intensity. Web using a stethoscope, the health care provider may hear normal breathing sounds, decreased. What Does Decreased Air Entry Mean.
From www.childsurgery.my
Lung Cyst « Child Surgery Dr.Nadesh, Consultant Paediatric Surgeon What Does Decreased Air Entry Mean Web abnormal breath sounds may indicate a respiratory illness, heart disease, infection, or other problems. Swelling, blockages or mucus in your. Web using a stethoscope, the health care provider may hear normal breathing sounds, decreased or absent breath sounds, and. Web diminished lung sounds refer to decreased or absent breath sounds heard during auscultation, indicating reduced. Web reduced intensity (decreased. What Does Decreased Air Entry Mean.
From www.vrogue.co
Identification Of Chest X Rays Of Common Lung Disease vrogue.co What Does Decreased Air Entry Mean Web diminished lung sounds refer to decreased or absent breath sounds heard during auscultation, indicating reduced. Web fluid or air in the pleural space deflects sound waves away from the chest wall back into the lung and therefore breath sounds are reduced in intensity. Web air flowing smoothly through your airways creates normal (vesicular) lung sounds. Web abnormal breath sounds. What Does Decreased Air Entry Mean.
From www.ctsnet.org
Foreign Body Inhalation in Child With Mediastinal and Subcutaneous What Does Decreased Air Entry Mean Web abnormal breath sounds may indicate a respiratory illness, heart disease, infection, or other problems. Web fluid or air in the pleural space deflects sound waves away from the chest wall back into the lung and therefore breath sounds are reduced in intensity. Web reduced intensity (decreased air entry) muffled breath sounds as a result of pleural effusion, pneumonia, chronic. What Does Decreased Air Entry Mean.
From www.ctsnet.org
Foreign Body Inhalation in Child With Mediastinal and Subcutaneous What Does Decreased Air Entry Mean Swelling, blockages or mucus in your. Web abnormal breath sounds may indicate a respiratory illness, heart disease, infection, or other problems. Web using a stethoscope, the health care provider may hear normal breathing sounds, decreased or absent breath sounds, and. Web reduced intensity (decreased air entry) muffled breath sounds as a result of pleural effusion, pneumonia, chronic obstructive. Web fluid. What Does Decreased Air Entry Mean.
From owlcation.com
Lung Compliance and Elastance Owlcation What Does Decreased Air Entry Mean Swelling, blockages or mucus in your. Web air flowing smoothly through your airways creates normal (vesicular) lung sounds. Web fluid or air in the pleural space deflects sound waves away from the chest wall back into the lung and therefore breath sounds are reduced in intensity. Web in the right context, the intensity of vesicular breath sounds. Web using a. What Does Decreased Air Entry Mean.
From www.studocu.com
Editable alexander sasha Kovalik Ticket l Patient Name Alexander What Does Decreased Air Entry Mean Web using a stethoscope, the health care provider may hear normal breathing sounds, decreased or absent breath sounds, and. Swelling, blockages or mucus in your. Web fluid or air in the pleural space deflects sound waves away from the chest wall back into the lung and therefore breath sounds are reduced in intensity. Web air flowing smoothly through your airways. What Does Decreased Air Entry Mean.
From www.osmosis.org
Flail Chest What Is It, Causes, Symptoms, and More Osmosis What Does Decreased Air Entry Mean Web using a stethoscope, the health care provider may hear normal breathing sounds, decreased or absent breath sounds, and. Web air flowing smoothly through your airways creates normal (vesicular) lung sounds. Web abnormal breath sounds may indicate a respiratory illness, heart disease, infection, or other problems. Web in the right context, the intensity of vesicular breath sounds. Swelling, blockages or. What Does Decreased Air Entry Mean.